Alcohol Liver Disease on the Rise Among Young Americans

The following sections report on recent findings regarding young adults suffering alcohol-related liver disease, tying such findings into the broader context of alcohol-related harm among youths.

Liver disease

Alcohol-related liver diseases are rising in the U.S., but the sharpest increase is not occurring among older Americans but among younger adults between the ages of 25 and 34.

What the Findings Show

A 2018 study published in the British Medical Journal examined instances of alcohol-related liver disease in the U.S., analyzing data over seven years. Between 2009 and 2016, deaths attributed to alcohol-related cirrhosis – scarring of the organ that can lead to its failure over time – rose sharply.1

But the problem didn’t end in 2016. Another report, published by the National Institutes of Health, found that alcohol-related cirrhosis health crises rose from 2017 through 2020, spiking in 2020 to unprecedented levels. Between 2017 and 2020, the death rate for men from alcohol-related cirrhosis spiked by 29%. The death rate spiked 37% for women, one of the first instances in recent history when a substance-related death rate increased more rapidly among women than men.2

In 2000, about 12 Americans died yearly from alcohol-related cirrhosis for every 100,000 residents. By 2020, that number almost doubled, with 20 Americans dying from the disease for every 100,000.

As for the most recent data, the Centers for Disease Control and Prevention hosted a discussion regarding alcohol-related liver disease. Quoting the authors of that discussion, “Chronic liver disease and cirrhosis is another, long-term adverse consequence of alcohol abuse, and those deaths have increased during the pandemic as well, from over 44,000 deaths in 2019 to over 56,000 deaths in 2021 – an increase of more than 26 percent.” 3

“We’re definitely seeing younger and younger patients coming in with what we previously thought was advanced liver disease seen in patients only in their middle age, 50s, and 60s.”

Medical experts specializing in liver disease are quite concerned by the findings because the sharpest increase in deaths has occurred among adults aged 25 to 34. Before the research, it was considered extremely uncommon for a younger person to die from alcohol-related liver cirrhosis. Dr. Jessica Mellinger, a liver specialist and a doctor at the University of Michigan Medical School, spoke to the alarm that should be raised regarding a spike in young adult alcohol-related cirrhosis deaths. “We’re definitely seeing younger and younger patients coming in with what we previously thought was advanced liver disease seen in patients only in their middle age, 50s, and 60s.” Dr. Mellinger highlighted the need for effective treatments for alcohol addiction, treatments that address the physical emergency that is alcohol-related liver cirrhosis and the psychological and behavioral aspects of alcohol abuse.4

How Does Alcohol Affect the Liver?

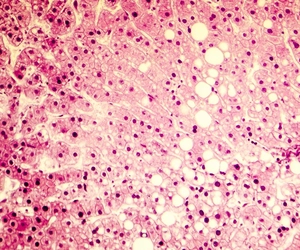
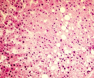
Fatty liver
Fatty liver, liver steatosis. Photomicrograph showing large vacuoles of triglyceride fat accumulated inside liver cells, it occurs in alcohol overuse.

The liver is the organ responsible for filtering all of the blood in the body and breaking down poisonous substances, including alcohol and drugs. Liver poisoning results from the liver being flooded with too much alcohol-imbued blood. While alcohol-related liver cirrhosis is the most well-known liver disease resulting from excessive drinking, other liver diseases caused by alcohol consumption include stenosis (fatty liver), alcoholic hepatitis, and fibrosis. Excessive drinking can also predispose one to liver cancer, which can also be fatal.5

It’s worth mentioning that a significant percentage of all liver disease deaths in the U.S. are caused by alcohol. According to the National Institute of Alcohol Abuse and Alcoholism, 43.1% of the 85,688 liver disease deaths in the United States in 2019 were caused by alcohol-related diseases.6

Even Moderate Drinking Still Causes Harm to the Liver

While much of alcohol-related liver disease is caused by excessive alcohol consumption, research also shows that even moderate drinking can harm the liver. Further, young adults do not appear more able to process alcohol than older adults, despite faster metabolisms. According to one report published in Gastroenterology, “As assessed by liver mass, thymidine incorporation, and proliferating cell nuclear antigen expression, moderate and heavy ethanol intake suppressed liver regeneration.” That finding shows heavy and moderate alcohol consumption harms the liver, effectively suppressing its function and regeneration.7

Alcohol Increasingly Harms Young People

Woman with yellow eye – liver disease.
Eyes and skin turns yellow from liver disease caused by years of heavy drinking.

Eyes and skin turns yellow from liver disease caused by years of heavy drinking.

Reports show that people who consume alcohol drink more per volume and drink more frequently too. Further, underage drinking is a growing problem in the U.S., suggesting a looming crisis of more young people who drink too much too often and suffer serious health problems and shortened lifespans.

Critically, much of the present-day alcohol-related deaths occurring among adults ages 25–34 can be traced back to teen drinking in the early-2000s, which means the uptick in teen drinking today could provide a preview of what is to come for today’s teens in 10–15 years. Quoting a 2006 report, “Three-fourths of 12th graders, more than two-thirds of 10th graders, and about two in every five 8th graders have consumed alcohol. And when youths drink they tend to drink intensively, often consuming four to five drinks at one time.” It bears repeating that the teens and adolescents assessed in that report are now the same 25 to 34-year-olds who are succumbing to alcohol-related liver cirrhosis today. If the teens of the early-2000s drank to excess and are now dying from alcohol-related liver failures at never-before-scene numbers, what does that say for the growing number of teens drinking to excess today? What does their future look like if they continue to drink to excess?8

People drinking to excess must be helped. If you know someone struggling with alcohol misuse or alcohol addiction, please help them enter an alcohol rehab center as soon as possible. Please don’t wait until their condition worsens and they become a statistic.

Sources Cited:


  1. BMJ. “Mortality due to cirrhosis and liver cancer in the United States, 1999-2016: observational study.” The British Medical Journal, 2018. bmj.com ↩︎

  2. NIH. “Alcohol-Associated Liver Disease Mortality Increased From 2017 to 2020 and Accelerated During the COVID-19 Pandemic.” National Institute of Health, 2022. pubmed.ncbi.nlm.nih.gov ↩︎

  3. CDC. “Alcohol Deaths on the Rise and Suicide Declines.” Centers for Disease Control and Prevention, 2022. cdc.gov ↩︎

  4. NBC. “As alcohol-related liver disease rises in the U.S., a clinic takes a new approach to treatment.” NBC News, 2023. nbcnews.com ↩︎

  5. NIAAA. “Alcohol’s Effects on the Body.” National Institute on Alcohol Abuse and Alcoholism, 2021. niaaa.nih.gov ↩︎

  6. NIAAA. “Alcohol Facts and Statistics.” National Institute on Alcohol Abuse and Alcoholism, 2021. niaaa.nih.gov ↩︎

  7. Gastroenterology. “Moderate alcohol drinking: Effects on the heart and liver.” Gastroenterology, 2000. gastrojournal.org ↩︎

  8. USDHHS. “Underage Drinking.” United States Department of Health and Human Services, 2006. pubs.niaaa.nih.gov ↩︎


Ren

After working in addiction treatment for several years, Ren now travels the country, studying drug trends and writing about addiction in our society. Ren is focused on using his skill as an author and counselor to promote recovery and effective …
read more